Pneumopericardium: Difference between revisions
| Line 34: | Line 34: | ||
==Evaluation== | ==Evaluation== | ||
[[File:PMC4782482 APC-9-94-g002.png|thumb|Pneumopericardium on chest x-ray after battery button ingestion. | [[File:PMC4782482 APC-9-94-g002.png|thumb|Pneumopericardium on chest x-ray after battery button ingestion.]] | ||
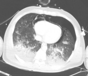
[[File:Pneumothorax hemothorax pneumomediastinum contusion.jpg|thumb|CT scan showing pneumopericardium with pneumomediastinum, pneumothorax, hemothorax, and pulmonary contusion after severe chest trauma<ref>Konijn AJ, Egbers PH, Kuiper MA (2008). "Pneumopericardium should be considered with electrocardiogram changes after blunt chest trauma: a case report". J Med Case Reports. 2 (1): 100. doi:10.1186/1752-1947-2-100. PMC 2323010. PMID 18394149.</ref>]] | [[File:Pneumothorax hemothorax pneumomediastinum contusion.jpg|thumb|CT scan showing pneumopericardium with pneumomediastinum, pneumothorax, hemothorax, and pulmonary contusion after severe chest trauma<ref>Konijn AJ, Egbers PH, Kuiper MA (2008). "Pneumopericardium should be considered with electrocardiogram changes after blunt chest trauma: a case report". J Med Case Reports. 2 (1): 100. doi:10.1186/1752-1947-2-100. PMC 2323010. PMID 18394149.</ref>]] | ||
*Assess for underlying cause | *Assess for underlying cause | ||
Revision as of 02:31, 2 April 2019
Background
- Air in the pericardium
- Generally secondary to connection between pericardium and pleural cavity, bronchi, or GI tract
- Most often found following trauma, severe asthma exacerbation, strangulation, or forceful drug insufflation
Clinical Features
- May present with tamponade physiology depending on size
- Other features include:
- Dyspnea
- Cyanosis
- Chest pain
- Pulsus paradoxus
- Bradycardia
- Tachycardia
Differential Diagnosis
Causes of pneumopericardium
- GI malignancy
- PUD
- Esophageal diverticula
- Barotrauma
- Mechanical ventilation
- Vigorous bag-mask ventilation
- SCUBA diving/rapid ascent
- Drug insufflation (especially associated with crack cocaine)
- Asthma
- Valsalva
- Infection pericarditis with gas-producing bacteria
- Thoracic surgery
- Pericardial fluid drainage
- Blast injury
- Blunt or penetrating Thoracic trauma
- Neonatal respiratory distress syndrome
Evaluation
CT scan showing pneumopericardium with pneumomediastinum, pneumothorax, hemothorax, and pulmonary contusion after severe chest trauma[1]
- Assess for underlying cause
- Assess vital signs for tamponade physiology (Beck's triad)
- Physical examination:
- May have subcutaneous emphysema
- May have succussion splash if there is also a pericardial effusion
- May have Hamman crunch
- CXR[2]
- Heart partially or completely surrounded by gas
- Pericardium sharply outlined by gas density on either side
- Continuous diaphragm sign may be present (diaphragm seen continuously across the midline
- PoCUS[3]
- Bright spots moving along pericardial layer during diastole
- Comet-tail artefacts extending across heart and disappearing during systole
Management
- Treat underlying cause
- Conservative management usually sufficient (usually self-resolves)
- If tamponade physiology, may require pericardiocentesis
- If communicating pneumothorax, chest tube placement may resolve both[4]
Disposition
- If underlying cause is stable and patient is asymptomatic, may discharge home
- Most patients will require admission for treatment of underlying cause
See Also
References
- ↑ Konijn AJ, Egbers PH, Kuiper MA (2008). "Pneumopericardium should be considered with electrocardiogram changes after blunt chest trauma: a case report". J Med Case Reports. 2 (1): 100. doi:10.1186/1752-1947-2-100. PMC 2323010. PMID 18394149.
- ↑ Bell, D. et al. Pneumopericardium. Radiopaedia.org. Retrieved March 8 2019.
- ↑ Bobbia et al. (2013). Pneumopericardium diagnosis by point-of-care ultrasonography. Journal of Clinical Ultrasound, 4(14), May 2013.
- ↑ Braiteh, F., and Malik, I. (2008). Pneumopericardium. Canadian Journal of Emergency Medicine, 179(10).
