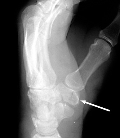
Trapezium fracture
Background
- Occurs via direct blow to thumb or dorsiflexion and radial deviation force
- Major complication is nonunion
Clinical Features
- Painful thumb movement
- Weak pinch
- TTP at apex of anatomic snuffbox, base of thenar eminence
Imaging
- Best seen on 20-degree pronated oblique view
Management
- Short arm thumb spica splint
- Displaced fx >1mm or diastasis >2mm require surgery
Images
Source
- Tintinalli

