Acute calculous cholecystitis
Revision as of 21:02, 21 July 2016 by Neil.m.young (talk | contribs) (Text replacement - "==Diagnosis==" to "==Evaluation==")
Background
Anatomy & Pathophysiology
- Gallstones are classified as cholesterol stones and pigmented stones (black and brown), and are present in approx 20% of females and 8% of males in the United States
- These stones cause the majority of all biliary tract problems, and depending on where the stone become impacted, specific problems occur.
- Bile flows out the gallbladder, down the cystic duct into the common bile duct, and ultimately into the 1st portion of the duodenum.
Clinical Features
Local Signs
- RUQ pain
- Murphy Sign
- Highest positive LR of any clinical finding or lab value
Systemic signs
Differential Diagnosis
RUQ Pain
- Gallbladder disease
- Pancreatitis
- Acute hepatitis
- Pancreatitis
- GERD
- Appendicitis (retrocecal)
- Pyogenic liver abscess
- Bowel obstruction
- Cirrhosis
- Budd-Chiari syndrome
- GU
- Other
- Hepatomegaly due to CHF
- Peptic ulcer disease with or without perforation
- Pneumonia
- Herpes zoster
- Myocardial ischemia
- Pulmonary embolism
- Abdominal aortic aneurysm
Evaluation
Laboratory Findings
- Leukocytosis
- LFT abnormalities (obstructive picture)
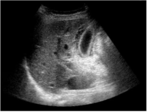
Imaging
- Biliary ultrasound
- Gallstones
- Distinguish by characteristic "shadowing"
- Better seen with patient in left lateral decub
- GB wall thickening (>3mm)
- May also be seen with Pancreatitis, ascites, Congestive heart failure, alcoholic hepatitis
- Pericholecystic fluid
- Sonographic Murphy's Sign (PPV 92%)
- May be absent in patients with DM, gangrenous cholecystitis
- Gallstones
- CT
- Useful when US results are equivocal
Management
Antibiotics
Most often isolated organisms are Escherichia coli, Klebsiella pneumonia, and anaerobes, especially Bacteroides fragilis
Uncomplicated
Pathogenicity of Enterococci remains unclear and specific coverage is not routinely suggested for community-acquired infections[1]
- Ertapenem 1g IV once daily OR
- Metronidazole 500mg IV q8hrs PLUS
- Ciprofloxacin 400mg IV q12 hrs OR
- Levofloxacin 750mg IV q24hrs OR
- Ceftriaxone 1g IV q24hrs
Complicated or Healthcare Associated
Examples of complication include severe sepsis or hemodynamic instability
- Vancomycin 15-20mg/kg PLUS any of the following options
Options:
- Metronidazole 500mg IV q8hrs PLUS Ciprofloxacin 400mg IV q12hrs
- Piperacillin/Tazobactam 4.5g IV q8hrs
- Imipenem/Cilastatin 500mg IV q6hrs
- Doripenem 500mg IV q8hrs
- Meropenem 1g IV q8hrs
Pediatric
- Ceftriaxone 50-75mg/kg IV daily (max 2g) + Metronidazole 7.5mg/kg IV q8hrs (max 500mg) OR
- Piperacillin/Tazobactam 80-100mg/kg IV q6-8hrs (max 4.5g) OR
- Meropenem 20mg/kg IV q8hrs (max 1g)
Surgical consultation
- Definitive treatment involves surgical removal or decompression
Disposition
- Admit
Complications
- Gangrene
- Occurs in 20% if untreated (esp. diabetics, elderly, delay in seeking care)
- Consider if patient presents with sepsis in addition to cholecystitis
- Perforation
- Occurs in 2% after development of gangrene
- Usually localized, leading to pericholecystic abscess
- Gallstone Ileus
- Due to cholecystoenteric fistula
- Emphysematous cholecystitis
- Due to secondary infection of GB by gas-forming organisms (C. perfringens)
- Presents like cholecystitis but often progresses to sepsis and gangrene
- IV antibiotic and cholecystectomy are essential
- Ultrasound report may mistake GB wall gas for bowel gas
- Mortality as high as 15% due to gangrene or perforation
- Mirizzi Syndrome
- Partial obstruction of common hepatic duct due to stone impaction / chronic inflammation
- Symptoms of acute cholecystitis + dilated intrahepatic ducts + jaundice
- Inflammation can cause erosive fistula from Hartmann pouch into common hepatic duct
- US and CT can usually delineate the fistula
- Treatment = open cholecystectomy
- Gallstone Ileus
- Bowel obstruction due to impaction of gallstone at terminal ileum
- Gallstone enters small bowel through biliary-duodenal fistula
- Diagnosis suggested by pneumobilia, bowel obstruction, ectopic gallstone
- Bowel obstruction due to impaction of gallstone at terminal ileum
See Also
References
- ↑ Ansaloni L, et al. 2016 WSES guidelines on acute calculous cholecystitis. World Journal of Surgery. (2016) 11:25. DOI 10.1186/s13017-016-0082-5
