File:Figure1B Osteosarcoma.jpg
Figure1B_Osteosarcoma.jpg (300 × 222 pixels, file size: 15 KB, MIME type: image/jpeg)
Summary
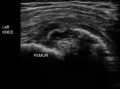
(B) Ultrasound of same patient showing cortical destruction and boney mass.
File history
Click on a date/time to view the file as it appeared at that time.
| Date/Time | Thumbnail | Dimensions | User | Comment | |
|---|---|---|---|---|---|
| current | 22:00, 21 November 2019 | 300 × 222 (15 KB) | Mtjordan91 (talk | contribs) | (B) Ultrasound of same patient showing cortical destruction and boney mass. |
You cannot overwrite this file.
File usage
The following page uses this file:

