File:PMC2892654 CRM2010-213818.004.png
PMC2892654_CRM2010-213818.004.png (382 × 355 pixels, file size: 158 KB, MIME type: image/png)
OPENi
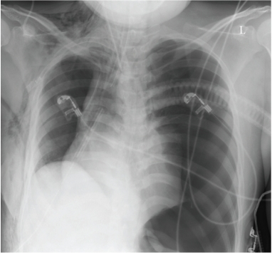
Acute tension pneumothorax following cardiac herniation after pneumonectomy. Steinmann D, Rohr E, Kirschbaum A - Case Rep Med (2010) Bottom Line: A tension pneumothorax is one of the main causes of cardiac arrest in the initial postoperative period after thoracic surgery.Tension pneumothorax and cardiac herniation must be taken into account in hemodynamically unstable patients after pneumonectomy.We report an unusual case of successful treatment of acute tension pneumothorax following cardiac herniation and intrathoracic bleeding after pneumonectomy. View Article: PubMed Central - PubMed Affiliation: Department of Anaesthesia and Critical Care Medicine, University Hospital Freiburg, Hugstetter Strasse 55, 79106 Freiburg, Germany.
File history
Click on a date/time to view the file as it appeared at that time.
| Date/Time | Thumbnail | Dimensions | User | Comment | |
|---|---|---|---|---|---|
| current | 11:46, 27 April 2017 | 382 × 355 (158 KB) | Rossdonaldson1 (talk | contribs) | OPENi Acute tension pneumothorax following cardiac herniation after pneumonectomy. Steinmann D, Rohr E, Kirschbaum A - Case Rep Med (2010) Bottom Line: A tension pneumothorax is one of the main causes of cardiac arrest in the initial postoperative period after thoracic surgery.Tension pneumothorax and cardiac herniation must be taken into account in hemodynamically unstable patients after pneumonectomy.We report an unusual case of successful treatment of acute tension pneumothorax following cardiac herniation and intrathoracic bleeding after pneumonectomy. View Article: PubMed Central - PubMed Affiliation: Department of Anaesthesia and Critical Care Medicine, University Hospital Freiburg, Hugstetter Strasse 55, 79106 Freiburg, Germany. |
You cannot overwrite this file.
File usage
The following 3 pages use this file:

